TMS targets depression at it's source, giving you a fresh start without the side effects.


About 50-80% of patients who complete a full course of TMS show a clinically meaningful response and up to 60% experience a remission, meaning their symptoms go away completely.

Sessions are about 20 minutes and you can drive to and from your appointments. The full course covered by insurance usually takes about 6-8 weeks to complete.

All major payers cover TMS treatment for Depression. If you've tried multiple antidepressants and therapy, there's a good chance your insurance covers it.
Transcranial Magnetic Stimulation uses strong, magnetic pulses distributed through a coil to regulate the neural activity of brain structures associated with depression.
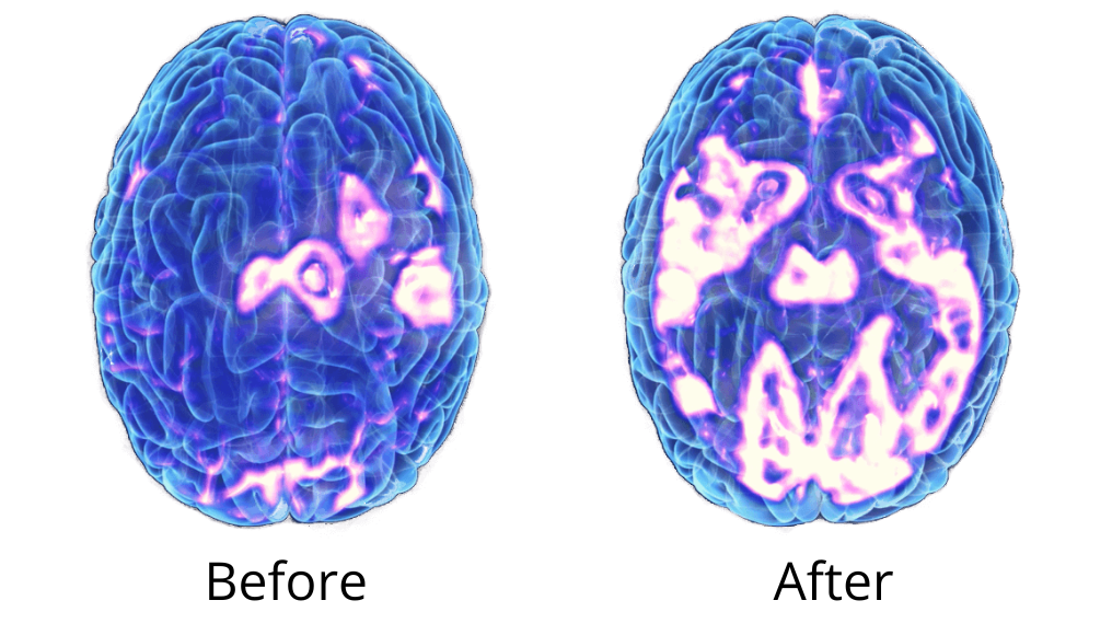
An analysis of 1,753 patients showed that the average patient achieved a sustained response after just 16 treatments.
Rest assured, you do not have to start a new medication regimen throughout TMS.
While you may feel slight pressure on top of your head, most patients adapt to the sensation after just a couple of sessions.


Call the office, fill out a form, or book directly to request a consultation.

We'll talk through your medical history and symptoms. You'll receive a personalized treatment plan, with insurance approval before starting.

During your first session, we determine device position to ensure the most effective treatment for you. This process is known as "mapping".

Relax during treatment. After each session, you'll be able to resume your daily routine immediately.


Medical Director of Psychiatry
Dr. Purewal opened Sahara Behavioral Health in 1998 to further his commitment to providing quality mental health care to his patients. Dr. Purewal specializes in chronic psychiatric illness and finds innovative solutions for patients with a variety of needs. His compassion and commitment to patients coupled with his expertise in psychiatric medicine results in exceptional outcomes for his patients.
Bipolar
Depression
Anxiety
Mood Disorders
PTSD
Psychosis
Ⓒ 2025 — Sahara Behavioral Health — All rights reserved